طب سوهاج توقف نزيف شريانى حاد لعجوز عمره 75 عام
فريق طبي بمستشفي سوهاج الجامعي ينجح في إيقاف نزف شرياني حاد وينقذ حياه مريض يبلغ من العمر ٧٥ عاماً
صرح الدكتور حسان النعماني رئيس جامعة سوهاج ان فريق طبي بوحدة الجهاز الهضمي والكبد بقسم الباطنة العامة ووحدة الاشعة التداخلية بقسم الاشعة نجح في انقاذ حياه مريض يبلغ من العمر ٧٥ عاماً له تاريخ مرضي ويعاني بقصور بوظائف الكلي وتليف بالكبد، حيث نجح الفريق في ايقاف نزف شرياني حاد من خلال إجراء التدخل السريع بإستخدام المنظار والقسطره الشريانيه العلاجيه بالاشعة التداخلية، مثمناً دور المستشفيات الجامعية في خدمة المرضي وما تمتلكه من الكوادر الطبية ذوي الخبرات التي تؤهلها للتعامل مع مثل هذه الحالات الطارئة باحترافية ومهارة فائقة.
وأوضح الدكتور مجدي القاضي عميد كلية الطب البشري ورئيس مجلس إدارة المستشفيات الجامعية تم التعامل علي الفور مع المريض الذي حضر الي استقبال الباطنة العامة، وكان يعاني من نزيف حاد وقيء دموي وبراز مدمم وانيميا حادة وعلاماته الحيوية غير مستقرة، وتم علي الفور حجزه بوحدة الرعاية المتوسطة لتحسين العلامات الحيوية واجراء منظار علوي عاجل له،مما يعكس التقدم الهائل في الامكانيات والفرق المدربة داخل المستشفيات الجامعية.
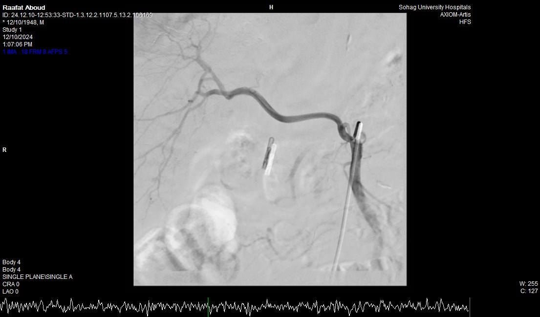
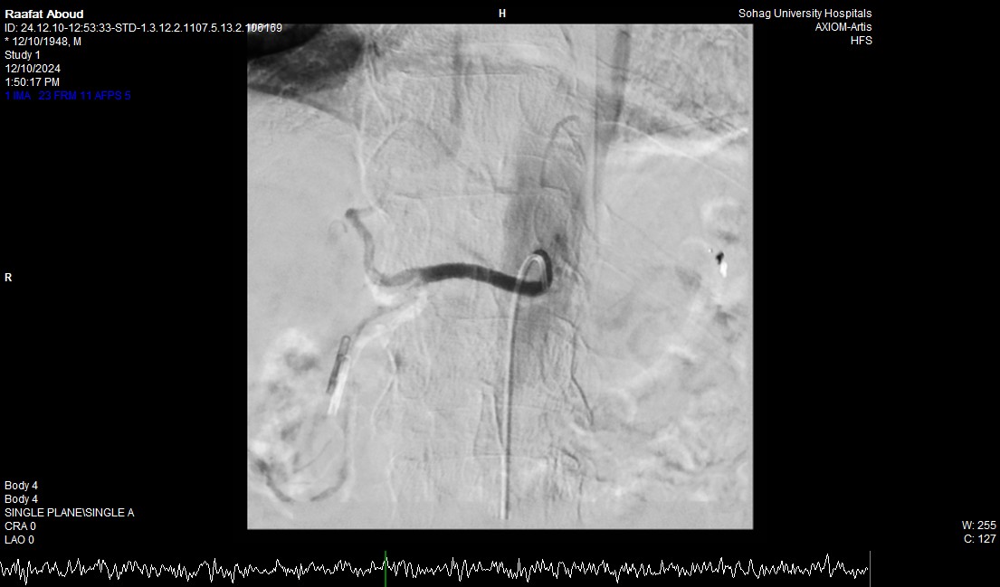
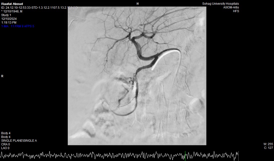
وأضاف الدكتور أحمد كمال المدير التنفيذي للمستشفيات الجامعية انه بعد اجراء الفحوصات للمريض تبين وجود قرحة كبيرة بالاثني عشر وشريان نازف، حيث نجح الفريق في التحكم المبدئي بالنزيف عن طريق تركيب مشبك معدني بالمنظار وحقن للقرحة النازفة، ثم تم استدعاء فريق أطباء وحدة الاشعة التداخلية علي الفور وتم عمل غلق للشريان النازف بشكل عاجل من خلال جهاز القسطرة.
وذكر الدكتور نايل عبد الحميد رئيس قسم امراض الباطنه ان هذا التدخل الطارئ لايقاف النزيف من خلال المنظار او من خلال غلق الشريان بواسطه الاشعة التداخلية جنب المريض من التعرض للحل الجراحي في هذا العمر، مشيراً الي ان المريض الآن في حالة مستقرة حيوياً وتوقف تام للنزيف وتحسن لوظائف الكلي والكبد وتم خروجه من وحدة الرعاية المتوسطة للمتابعة بالقسم الداخلي
وأوضح الدكتور محمد زاكي رئيس قسم الأشعة أن مثل هذه الحالات تعد من الطوارئ الطبية الخطيرة والتي تستوجب عمل قسطره شريانية عاجلة لغلق الشرايين النازفه مشيراً أن وحدة الأشعة التداخلية تم تزويدها بجهاز أشعه محوري متقدم لاجراء مثل هذه الحالات، وأن هذا النجاح هو نتيجة لتعاون أقسام المستشفي مع وحدة الأشعة التداخليه لتقديم خدمة مميزه للمرضي.







تعليم سوهاج تطلق مبادرة ” ازرع شجرة ”
طب سوهاج : قسم العظام يُنهى على قوائم أنتظار العمليات الجراحية
فاضل النحاس مدير التعليم العام بسوهاج في زيارات ميدانية مفاجئة لمدارس سوهاج
مديرية تعليم سوهاج تحتفل باليوم العالمي لذوى الإعاقة
النعماني يصدر قراراً بتكليف الدكتور أحمد كمال للقيام بعمل مديراً لمستشفيات سوهاج الجامعية والدكتور عمرو مصطفي نائباً
تكليف 14 معيد بكلية طب سوهاج
د.محمد السيد ود محمدعبدالهادى يفتتحان الورشة الفنية لطالبات التجارة المتقدمة بسوهاج
برنامج تدريبى مشترك بين جامعة سوهاج ومكتبة الاسكندرية برعاية مؤسة حياة كريمة
دكتور محمد السيد ووكيل وزارة التربية والتعليم بسوهاج يكرم المدارس المنتسبه لليونيسكو بسوهاج
كلية طب سوهاج تجرى 25 عملية جراحية دقيقة بقسم طب وجراحة العيون
منى طرخان : لابد من تطبيق لائحة الانضباط حسب تعليمات وزارة التربية والتعليم
مستقبل وطن سوهاج يعقد ندوة موسعة حول «دور الحزب في دعم المبادرات الرئاسية»















